의료진소개
치과소개
임플란트
사랑니발치
충치치료
보철치료
잇몸치료
건강보험혜택
치료사례
둘러보기
디지털장비
오시는 길
치료사례 카테고리
전체
임플란트
심미치료
치아미백
Total 59건
5 페이지
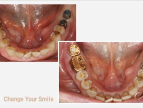
11
임플란트
하악 제1대구치 지르코니아 크라운, 제2대구치 임플란트 시술사례
작성자
관리자
조회
1119
작성일
06-18
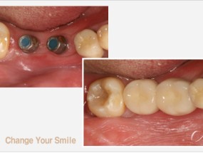
10
임플란트
하악 제2대구치 어금니 임플라트 시술사례
작성자
관리자
조회
1125
작성일
06-18
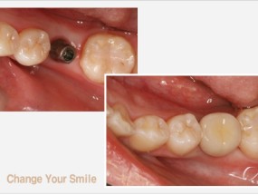
9
임플란트
상악 5,6번 어금니 임플란트 시술사례
작성자
관리자
조회
1065
작성일
06-18
8
임플란트
하악 6번 어금니 임플란트 시술사례
작성자
관리자
조회
1048
작성일
06-18
7
임플란트
하악 어금니 5,6,7 번 임플란트 시술사례
작성자
관리자
조회
987
작성일
06-18
6
임플란트
하악 6,7번 대구치 임플란트 시술사례
작성자
관리자
조회
964
작성일
06-18
5
임플란트
하악 양쪽 어금니 임플란트 시술사례
작성자
관리자
조회
981
작성일
06-18
4
임플란트
하악 어금니 임플란트 시술 사례 (깨짐 방지를 위한 교합면 메탈 크라운 진행)
작성자
관리자
조회
1048
작성일
06-18
3
임플란트
하악 어금니 1개 임플란트 시술사례
작성자
관리자
조회
917
작성일
06-18
2
임플란트
하악 어금니 임플란트 시술사례
작성자
관리자
조회
864
작성일
06-18
1
임플란트
하악 어금니 임플란트 시술사례
작성자
관리자
조회
812
작성일
06-18
게시물 검색
검색대상
제목
내용
제목+내용
회원아이디
회원아이디(코)
글쓴이
글쓴이(코)
검색어
필수
처음
1
페이지
2
페이지
3
페이지
4
페이지
열린
5
페이지
상단으로