의료진소개
치과소개
임플란트
사랑니발치
충치치료
보철치료
잇몸치료
건강보험혜택
치료사례
둘러보기
디지털장비
오시는 길
치료사례 카테고리
전체
임플란트
심미치료
치아미백
Total 59건
1 페이지
59
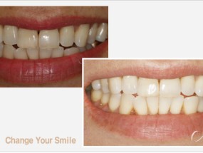
치아미백
치아 미백 시술사례
작성자
관리자
조회
892
작성일
06-18
58
치아미백
치아미백 시술사례
작성자
관리자
조회
929
작성일
06-18
57
치아미백
치아미백 수술사례
작성자
관리자
조회
927
작성일
06-18
56
치아미백
치아 미백 시술사례
작성자
관리자
조회
871
작성일
06-18
55
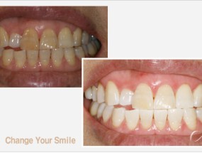
심미치료
심미치료 시술사례
작성자
관리자
조회
1217
작성일
07-14
54
심미치료
심미치료 시술사례
작성자
관리자
조회
1187
작성일
07-14
53
심미치료
앞니 치아성형 시술사례
작성자
관리자
조회
1143
작성일
06-18
52
심미치료
앞니 치아성형 시술사례
작성자
관리자
조회
1140
작성일
06-18
51
심미치료
앞니 오래된 보철물 치아성형 시술사례
작성자
관리자
조회
1218
작성일
06-18
50
심미치료
앞니 상실 case 치아성형 시술사례
작성자
관리자
조회
1264
작성일
06-18
49
심미치료
앞니 이 사이 틈 치아성형 시술사례
작성자
관리자
조회
1293
작성일
06-18
48
심미치료
앞니 치아성형 시술사례
작성자
관리자
조회
1209
작성일
06-18
게시물 검색
검색대상
제목
내용
제목+내용
회원아이디
회원아이디(코)
글쓴이
글쓴이(코)
검색어
필수
열린
1
페이지
2
페이지
3
페이지
4
페이지
5
페이지
맨끝
상단으로